Stephanie McDonald

1 Article

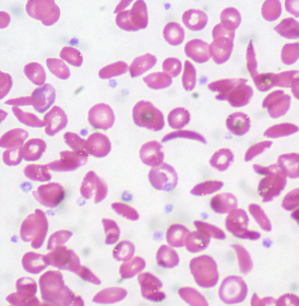
Sickle Cell Disease: New Take on Old Therapy

I first remember hearing about sickle cell anemia as a teenager. I…

Stephanie McDonald